New Patients:

Existing Patients:

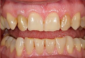
Dentistry Before and After Photos in North Bellmore

Cosmetic Dentist in North Bellmore

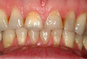
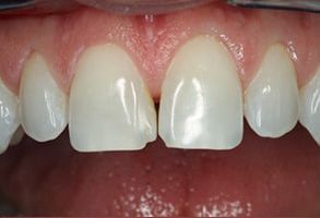
Before

Dentist in North Bellmore

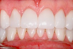
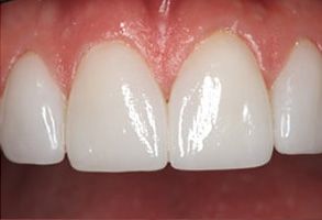
After

Best Dentist in North Bellmore

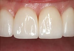
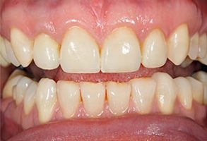
Before

Dental Office in North Bellmore

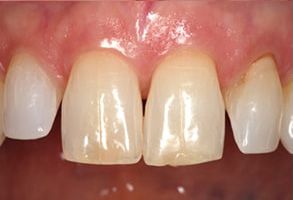
After

North Bellmore Dental Associates, PC | Periodontal Treatment, Veneers and Implant Dentistry

Before

North Bellmore Dental Associates, PC | Extractions, Intraoral Camera and Digital Radiography

After

North Bellmore Dental Associates, PC | Veneers, E4D reg  and Crowns  amp  Caps

Before

North Bellmore Dental Associates, PC | E4D reg , Oral Exams and Dental Sealants

After

North Bellmore Dental Associates, PC | Oral Exams, Digital Radiography and Dental Sealants

Before

North Bellmore Dental Associates, PC | Bonding, Dental Fillings and Dentures

After

North Bellmore Dental Associates, PC | Dental Fillings, Bonding and Extractions

Before

North Bellmore Dental Associates, PC | VELscope reg  Cancer Screening, E4D reg  and Oral Exams

After

North Bellmore Dental Associates, PC | Inlays  amp  Onlays, Dental Bridges and Digital Radiography

Before

North Bellmore Dental Associates, PC | Crowns  amp  Caps, VELscope reg  Cancer Screening and Dental Sealants

After

North Bellmore Dental Associates, PC | Intraoral Camera, Implant Dentistry and Periodontal Treatment

Before

North Bellmore Dental Associates, PC | Nitrous Oxide, Intraoral Camera and Oral Exams

After

North Bellmore Dental Associates, PC | Dentures, Intraoral Camera and Oral Exams

Before

North Bellmore Dental Associates, PC | Inlays  amp  Onlays, Implant Dentistry and Crowns  amp  Caps

After